Rising Incidence of Tuberculosis in the UK Highlights Ongoing Public Health Challenge

# Truth About the Deadly Victorian Disease That Never Went Away – Now Stalking the UK
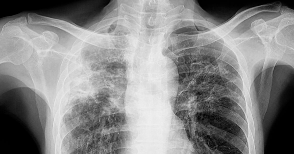
Tuberculosis (TB) is a serious illness that has been affecting people for centuries. Although often seen as a disease of the past, it continues to pose a threat in the UK and beyond.
TB mainly affects the lungs but can also impact other parts of the body. It spreads through the air when an infected person coughs or sneezes. This means that close contact with someone who has TB increases the risk of infection.
Health experts warn that the rise in drug-resistant TB strains is alarming. This makes treatment more difficult and increases the potential for outbreaks. Recent statistics show that there are still thousands of new TB cases in the UK every year.
"TB is a preventable and treatable disease," experts state, highlighting the importance of awareness and prompt diagnosis. The UK government and health agencies are working to control the spread through vaccination and public health campaigns.
People are advised to seek medical help if they experience symptoms such as a persistent cough, unexplained weight loss, or fever. Early diagnosis is crucial to managing and treating TB effectively.
This information emphasizes the need for continued vigilance against this Victorian-era disease that remains a public health concern today.
This article is for general information only and is not a substitute for professional medical advice. Always speak to a GP or qualified health professional about your own health.